歯並びをきれいにしたい方へ

こんなお悩みはありませんか?

  • 歯並びが気になって、人前で思いっきり笑うのをためらってしまう
  • 矯正治療は痛い、高い、長い…そう思ってなかなか一歩を踏み出せない
  • 子どもの歯並びが気になるけど、いつから治療を始めればいいのか分からない
  • 一度矯正したけど、後戻りしてしまった
  • 食事のときに食べ物が歯に挟まったり、歯磨きがしにくい

歯並びをきれいにするメリット

歯並びをきれいにするメリット

歯並びが悪いと、お口を開けた時の見た目を気にして笑顔が出にくくなってしまうことがあります。また、歯がきれいに揃っていないと、歯ブラシが上手く届かないため、虫歯や歯周病になるリスクが高まります。歯の矯正治療は小学生から大人まで幅広い年齢の方に受けて頂くことができますので、自分やお子さんの歯並びが気になる方は、お気軽にご相談頂ければと思います。

矯正治療の種類(自費診療)

矯正治療の種類(自費診療)

矯正治療にはいくつかの種類があり、治療中の目立たなさ・治療期間・快適さ・目的・お口の中の状態など、様々な点を考慮した上で、最も適した治療方法を提案させて頂くようにしています。

ブラケット矯正

歯にブラケットと呼ばれる装置を取り付け、ワイヤーで引っ張ることで歯を動かしていきます。従来のブラケットは金属製で目立つというデメリットがありましたが、当院では白く目立ちにくいブラケットを使用しています。また、歯の裏側にブラケットを取り付けて目立たないようにすることも可能です。

マウスピース型矯正歯科装置

透明なマウスピースを装着することで、歯を動かしていきます。目立たないことが最大のメリットですが、取り外し可能なため食事に支障がないという特徴もあります。ただし、ブラケット矯正よりも治療期間が長くなってしまう傾向にあります。

床矯正

歯をきれいに並べるためには、そもそもお口の中に歯が並ぶための十分なスペースがなければなりません。そのため、まずは顎を広げていく装置を取り付ける矯正が必要なことがあります。特に顎の骨が成長段階にある小学生くらいのお子さんには高い効果が期待できます。

リテーナー

歯をきれいに並べるた後に、矯正装置を外し放置していると、すぐにもとの歯並びに戻ってしまいます。
そのため、透明な装置で取り付けてきれいな歯並びを維持する必要があります。
そこで、この装置を入れておくことで、きれいな歯並びを維持します。

調整

矯誤った器具の使い方をしている場合すぐにもとの歯並びに戻ってしまいます。
そのため、矯正治療を開始してから毎回、矯正装置が正しく使われているか、また歯並びの変化をチェックいたします。必要があれば、装置の調整・修正等を行います。

尚、矯正装置の破損・紛失時は別途費用が発生することがあります。

料金表(税込)

精密検査、診断料 38,500円
小児矯正(床矯正) 385,000円
成人矯正(プラスチックブラケット) 715,000円
マウスピース型矯正装置 550,000円(月々8,333円~)
ブラケット脱離費用 1個につき:1,100円
保定装置(リテーナー) 110,000円
調整(一回通院毎) 5,500円

よくある質問

Q1.矯正治療は子どもから始めるべきですか?
A1. 必ずしも子どもから始める必要はありませんが、子どもの矯正には大きなメリットがあります。子どもの頃は顎の骨が成長途中にあるため、顎の成長をコントロールすることで、将来の抜歯リスクを減らしたり、治療期間を短くしたりできる可能性が高まります。
「いつから始めるべきか」は、お子さんの歯並びによって異なりますが、一般的には6歳〜10歳頃の治療開始を推奨しています。
Q2.歯並びが悪いとどんなデメリットがありますか?
A2. 歯並びが悪いことには、見た目だけでなく、お口や全身の健康にもさまざまなデメリットがあります。
  • 虫歯・歯周病のリスク:歯が重なっている部分は磨きにくく、虫歯や歯周病の原因になります。
  • 口臭:磨き残しが増えることで、口臭の原因になることがあります。
  • 滑舌が悪くなる:歯と舌の動きが制限され、発音に影響が出ることがあります。
  • 全身の健康への影響:噛み合わせが悪いと、肩こりや頭痛の原因になることもあります。
矯正治療は、見た目を整えるだけでなく、これらのリスクを改善し、健康な生活を送るための大切な投資です。
Q3.矯正相談ではどんなことをしますか?
A3. 矯正相談は、患者さんの歯並びの悩みやご希望を伺うための大切な時間です。当院の無料相談では、以下の流れで進めます。

①カウンセリング:歯並びに関するお悩みや、気になること、治療へのご希望などを詳しくお伺いします。
②お口の中のチェック:お口の状態を拝見し、簡単な検査を行います。
③治療方法のご提案:ワイヤー矯正やマウスピース矯正など、どのような治療法が適しているかをご説明します。費用の目安、支払い方法の説明:具体的な費用や、分割払いなどのお支払い方法についてご説明します。

この段階で必ずしも治療を始める必要はありませんので、「まずは話だけ聞いてみたい」という方も、お気軽にお越しください。

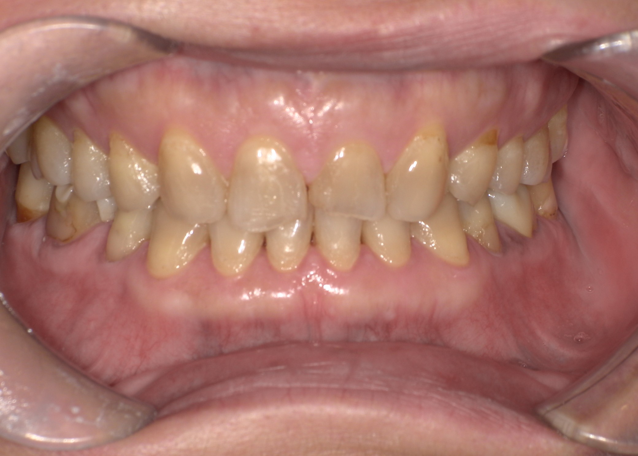
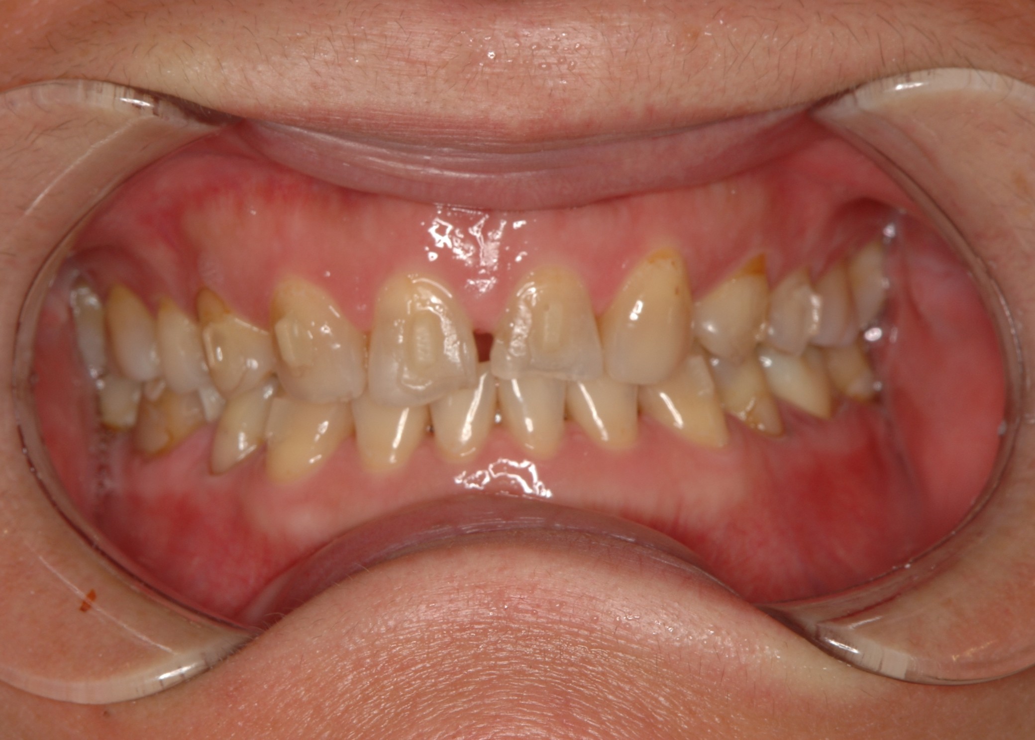
症例集

BEFORE

AFTER

治療詳細 前歯のねじれとガタつきを、歯を抜かずに整えた症例です。
治療期間 8ヶ月
治療費用 616,000円(税込)
リスク・副作用 歯を動かすことにより、歯肉が下がる可能性があります。歯根も短くなる可能性があります。治療期間には個人差があります。

お問い合わせはお気軽に

武蔵小杉や向河原で歯医者をお探しの際は
お気軽にお問い合わせください。

9:30~13:00/15:00~19:00
※休診日:木曜日・日曜日・祝日